2022/12/28

定期健診で口の中を診てもらう際に、「歯石が着いていますね」と歯科医院で指摘されることがあると思いますが、
そもそも歯石ってなんでしょうか?
【歯石とは】
・プラークが石灰化して硬くなったもの
・磨き残しの多さや、唾液の成分から歯石の出来やすさが変わる
・プラークに唾液に含まれるカルシウムやリン酸が沈着して歯石となる
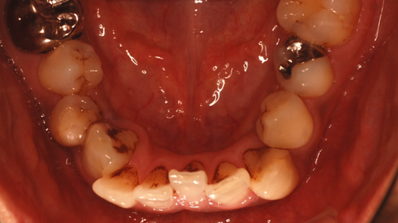
歯石の成分は、およそ8割がリン酸カルシウムです。そのほかにタンパク質や炭水化物、
細菌の死骸なども含まれます。歯石そのものはむし歯を作りませんが、歯石が歯についていることで
歯の表面がざらつき、そこに細菌が増殖しやすくなることで歯周病を引き起こします。
つまり、歯周病のもとになりやすいということですね。
歯石を取り除くことはハブラシだけでは難しいため、歯科医院で専門的な治療を受ける必要があります。
また、歯石が着くことを予防するには正しいハミガキでプラークを取り除くことが必要です。
しかし、100%プラークを取り除くことは困難ですので、数か月したら大抵の人は歯石が沈着してきます。
定期的に歯科医院で歯石を取ってもらいましょう。
