2023/07/10



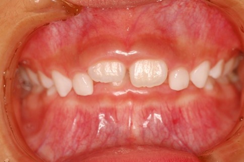
咬み合わせが深いケースで、まだ成長が期待できる年齢の治療についてお話しします。佐野歯科・矯正歯科医院では、成長期のお子さんの過蓋咬合は、取り外し式の機能的矯正装置で治療をおこなうことが多いです。
【可撤式矯正装置による咬合挙上①】
・取り外し式の矯正装置で、ひとの筋肉の動きや噛む力を利用します。
・およそ6か月ほどで咬み合わせが浅くなります。
・写真のケースはマウスピース型の装置で、半年ほど使用しました。
・使用時間は日中2時間と就寝時です。






2023/07/10



咬み合わせが深いケースで、まだ成長が期待できる年齢の治療についてお話しします。佐野歯科・矯正歯科医院では、成長期のお子さんの過蓋咬合は、取り外し式の機能的矯正装置で治療をおこなうことが多いです。
【可撤式矯正装置による咬合挙上①】
・取り外し式の矯正装置で、ひとの筋肉の動きや噛む力を利用します。
・およそ6か月ほどで咬み合わせが浅くなります。
・写真のケースはマウスピース型の装置で、半年ほど使用しました。
・使用時間は日中2時間と就寝時です。





