2026/03/02
噛み合わせが悪いと顎関節症になることがある、というのはご存じですか?
前回に引き続き、顎関節症のリスクが上がる不正咬合について見ていきましょう。
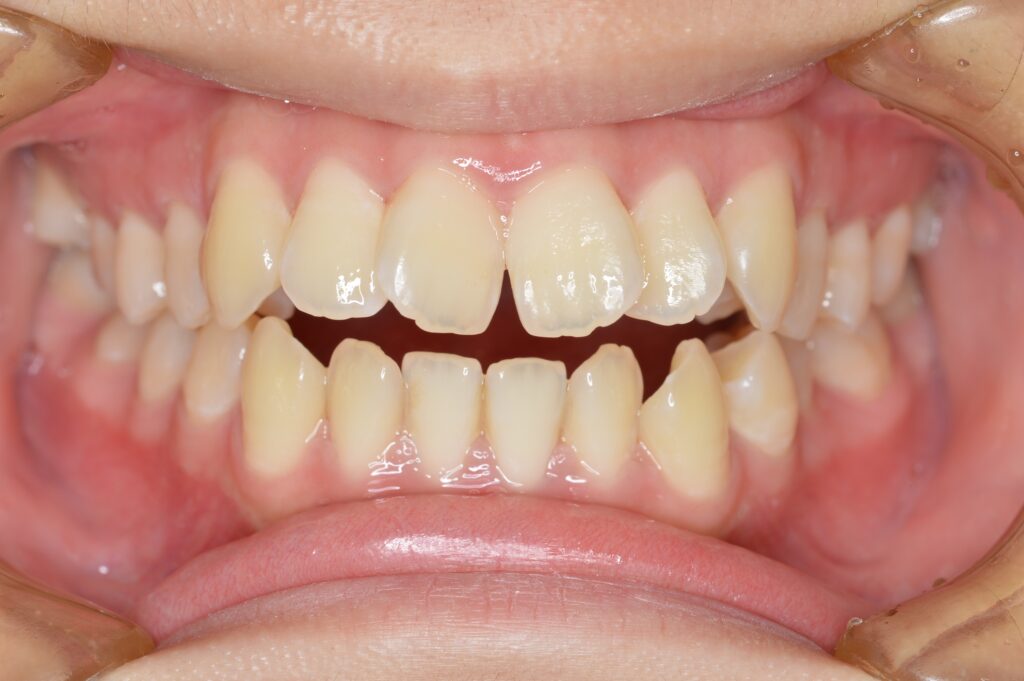
【開咬】

奥歯で噛んでも前歯が開いてしまっているような噛み合わせのことを「開咬」と呼びます。
このタイプは噛んでいる場所が少ないために、歯にかかる負担が集中してしまいます。
また、奥歯だけ噛んでいるために顎が不安定となり、顎関節症のリスクを増やします。
・負担のかかる部位
奥歯、顎の関節、顎関節周囲の筋肉
・顎の不安定さ
開咬は顎が後方へ下がりやすい構造であり、正しい位置で開閉できないことにより関節に無理な力がかかる
・悪習癖との関係
開いている前歯の部分に舌を入れ込む癖があると、より前歯が開く力がかかり、症状が悪化する
治療法としては、軽度であれば舌のトレーニング(MFT)で対応します。
また、舌の癖が強い場合は舌を前に出さないようにする装置もあります。
中等度であれば矯正治療の対象となります。
重度では外科的矯正治療が必要となり、保険適用です。
