2026/03/05
噛み合わせが悪いと顎関節症になることがある、というのはご存じですか?
前回に引き続き、顎関節症のリスクが上がる不正咬合について見ていきましょう。
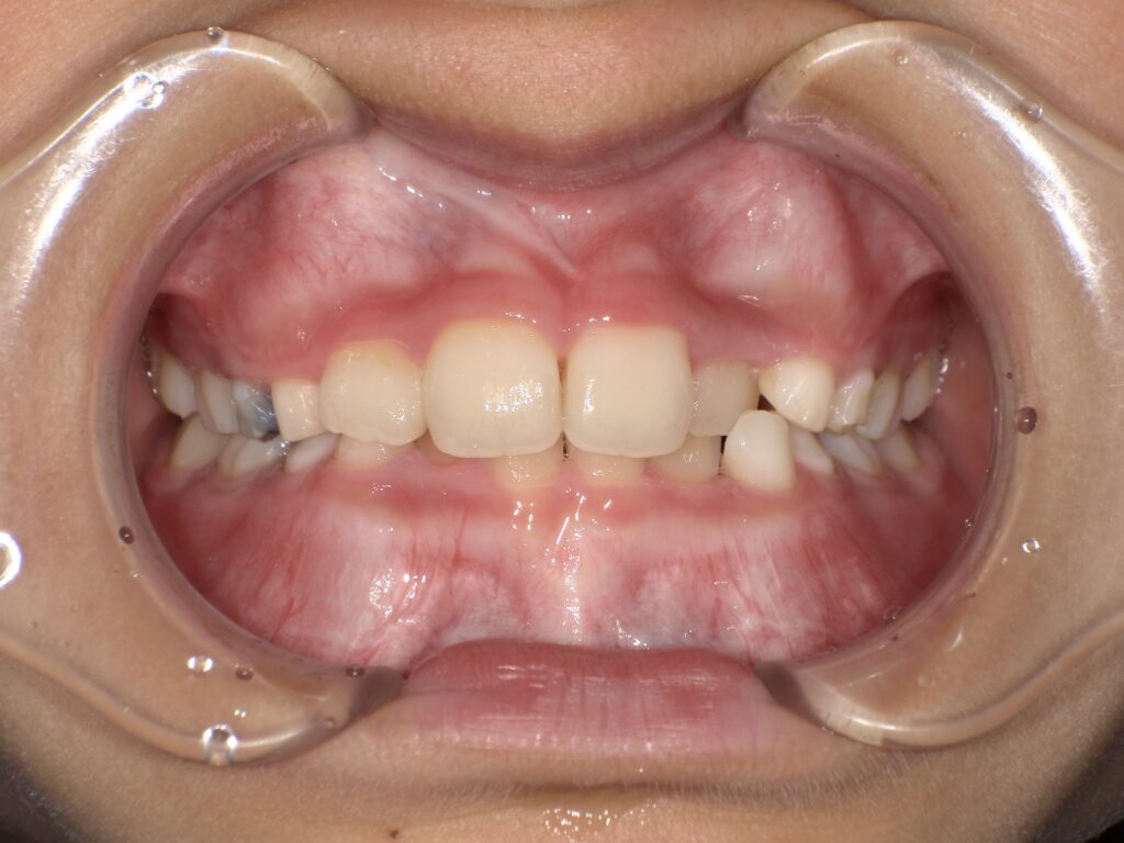
【過蓋咬合】

噛んだ時に上の前歯が下の前歯を覆い隠してしまっているような噛み合わせのことを「過蓋咬合」と呼びます。
このタイプは上顎が下顎を覆っているために、顎の可動域が制限されます。
顎の動きが制限されると顎関節症のリスクが高まります。
また、下顎前歯が上顎の歯茎に刺さって傷つけてしまうこともあります。
・負担のかかる部位
上顎の歯肉、顎の関節、顎関節周囲の筋肉
・顎の不安定さ
過蓋咬合は顎が後方へ押し込められることにより関節に無理な力がかかる
・悪習癖との関係
指しゃぶりなどがあると、下顎がさらに後方へ移動し症状が悪化する
軽度であれば経過観察や悪習癖の除去で対応します。
また、指しゃぶりが3歳を超えてもおさまらないようであれば、指を口の中に入らないようにする装置もあります。
中等度であれば矯正治療の対象となります。
重度の場合は矯正治療でもかなり時間がかかることを覚悟しましょう。
