2026/03/08
これまで、顎関節症になる可能性が高い歯並びの不正についてお話ししました。
今回も見ていきましょう。
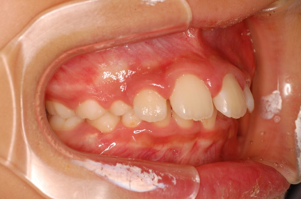
【上顎前突】

①上顎が前方に出ている
②下顎が後方に下がっている
③①と②の複合型
上記の3つが顎関節症になる可能性を高めます。
上顎前突(出っ歯)は、上の前歯や骨格が前方に突き出た不正咬合であり、噛み合わせのバランスが崩れることで顎の筋肉や関節(顎関節)へ過剰な負担がかかり、顎関節症(痛み、クリック音、開口障害)を引き起こすリスクが高いです。治療には矯正治療や外科的なアプローチが用いられます。
・負担のかかる部位
前歯が噛み合わないことで、奥歯や顎関節に負担がかかりやすい
・下顎の運動制限
上顎が出ていることで下顎の運動が制限され、顎関節や筋肉に負荷がかかる
・悪習癖との関係
指しゃぶりや舌突出癖で顎が後退しやすく、前歯の前傾が起こりやすい
治療法としては、軽度であれば舌や口唇のトレーニング(MFT)で対応します。
また、舌の癖が強い場合は舌を前に出さないようにする装置もあります。
顎の発育が悪い場合は小児矯正からの関与で顎を正しい位置関係へ誘導します。
永久歯列期では顎の成長は見込めないため、本格的な矯正治療の対象となります。
重度では外科的矯正治療が必要となり、保険適用です。
