2026/02/12
前回、歯並びが悪いと舌がんになるのかどうかということについてお話ししましたね。
過去の論文から言うと下顎の大臼歯が舌側に傾斜しているケースで若年者にも舌がんが見られたそうです。
それでは、舌側傾斜している大臼歯とはどういう状態を指すのでしょうか?
今日は例として写真をお見せしたいと思います。

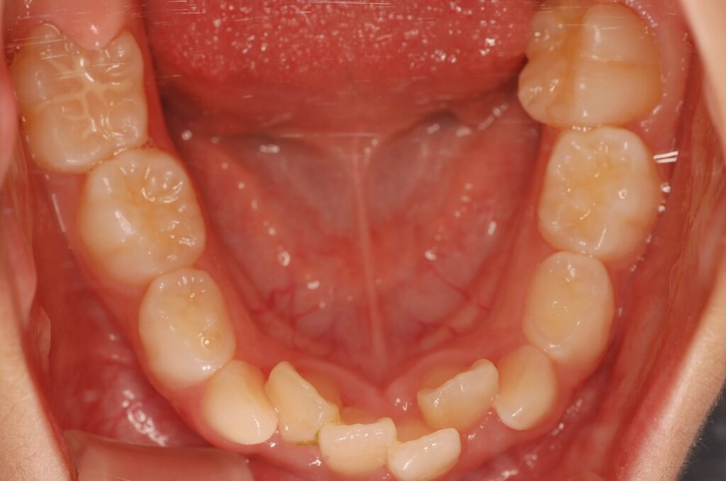
こちらの症例は、向かって右側の一番奥の歯が内側に倒れこんでいるのがわかると思います。
このように、噛み合わせの面が真上から良く見えないようなケースを傾斜といいます。
その中でも舌側に倒れこんでいるものを「舌側傾斜」と呼びます。
舌側傾斜した大臼歯(奥歯)は、喋るときや食事の時、安静時も含めて
ずっと舌に刺激を与え続けます。
その刺激に対しての感受性が強い場合にがんとして発現することがあります。
全ての人ががんになるわけではありませんが、ならないとも言いきれないのです。
こういった症例では、歯の尖った部分を削るか、矯正治療で起こしてあげることで
舌への刺激を減らせます。
ご自身やご家族同士で、奥歯が倒れこんでいないか確認するのは大変だと思います。
歯科医師であれば一目ですぐわかりますので、いつでもお聞きください。
もちろん、お口を見る際に歯茎や舌の状態も確認するので
口腔がんの早期発見・早期治療のためにも定期的な受診がお勧めです。
