2025/12/11
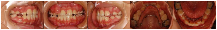
前回に引き続き、実際に治療をしている症例をご紹介します。小さい頃から咬み合わせが逆でしたが、そのうち治るかと様子見をしていたものの、大人の歯が生えてきても治らなかったので相談にいらした小学校低学年の患者さんです。
初めて当院へいらしたときのお口の中の写真(口腔内写真)です。検査の結果、大人の歯が生えるスペース確保のために顎を広げることと、前歯のかみ合わせを治すために部分的にワイヤーを使って歯並びを治すことになりました。
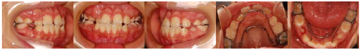
治療開始2か月後。
治療開始3か月後。
治療開始4か月後、上の大人の歯にワイヤーの装置を付けました。
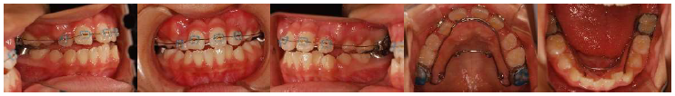
治療開始6か月後、前歯の咬み合わせが良くなりました。まだ治療途中ですが、顎も広がりスペースが出来てきました。このような流れで咬み合わせと歯並びを治していきます。全ての反対咬合を同じ方法で治せるわけではありませんが、早期に介入することで成長の方向を良い方へ向かわせられることができます。反対咬合に気づいたら、まずは受診を!
*上記症例の治療費総額:400,000円
*矯正治療における副作用・リスク
疼痛、歯肉炎、歯根吸収、歯茎が下がる、虫歯、後戻り、顎関節症等
初めて当院へいらしたときのお口の中の写真(口腔内写真)です。検査の結果、大人の歯が生えるスペース確保のために顎を広げることと、前歯のかみ合わせを治すために部分的にワイヤーを使って歯並びを治すことになりました。
治療開始2か月後。
治療開始3か月後。
治療開始4か月後、上の大人の歯にワイヤーの装置を付けました。
治療開始6か月後、前歯の咬み合わせが良くなりました。まだ治療途中ですが、顎も広がりスペースが出来てきました。このような流れで咬み合わせと歯並びを治していきます。全ての反対咬合を同じ方法で治せるわけではありませんが、早期に介入することで成長の方向を良い方へ向かわせられることができます。反対咬合に気づいたら、まずは受診を!
*上記症例の治療費総額:400,000円
*矯正治療における副作用・リスク
疼痛、歯肉炎、歯根吸収、歯茎が下がる、虫歯、後戻り、顎関節症等
