2025/12/08
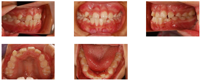
今日は、実際に治療をしている症例をご紹介します。小さい頃から咬み合わせが逆でしたが、そのうち治るかと様子見をしていたものの、大人の歯が生えてきても治らなかったので相談にいらした小学校低学年の患者さんです。
検査の結果、上下の顎が狭いので今後大人の歯が並ぶ場所が足りないことと、上の歯が内側から生えてきていたことが分かりました。また、上と下の歯の中心がずれていることが分かるかと思います。これを放置すると顔が曲がって成長してしまうため、早めに受け口を治して正しく成長できるようにすることとなりました。
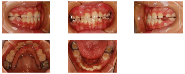
まずは裏側から顎を広げる装置をセットします。子供の歯が残っているこの状態では、顎もまだ成長できるため、その残っている成長を利用して顎を広げることで歯が生えるスペースを確保します。上の写真は治療から1か月後のものですが、右上の2番目の歯が少し表側へ移動しているのが分かるでしょうか。次回もこの症例の続きをお見せします。
受け口についての過去のブログはコチラ
*上記症例の治療費総額:400,000円
*矯正治療における副作用・リスク
疼痛、歯肉炎、歯根吸収、歯茎が下がる、虫歯、後戻り、顎関節症等
検査の結果、上下の顎が狭いので今後大人の歯が並ぶ場所が足りないことと、上の歯が内側から生えてきていたことが分かりました。また、上と下の歯の中心がずれていることが分かるかと思います。これを放置すると顔が曲がって成長してしまうため、早めに受け口を治して正しく成長できるようにすることとなりました。
まずは裏側から顎を広げる装置をセットします。子供の歯が残っているこの状態では、顎もまだ成長できるため、その残っている成長を利用して顎を広げることで歯が生えるスペースを確保します。上の写真は治療から1か月後のものですが、右上の2番目の歯が少し表側へ移動しているのが分かるでしょうか。次回もこの症例の続きをお見せします。
受け口についての過去のブログはコチラ
*上記症例の治療費総額:400,000円
*矯正治療における副作用・リスク
疼痛、歯肉炎、歯根吸収、歯茎が下がる、虫歯、後戻り、顎関節症等
